Before and After Pictures

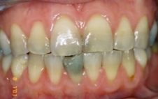
Teeth Whitening
|
|

Before
|

After
|
Teeth Whitening
|
|

Before
|

After
|
Teeth Whitening
|
|

Before
|

After
|
Teeth Whitening
|
|

Before
|

After
|
Teeth Whitening
|
|

Before
|

After
|
Porcelain Veneers
|
|
74.jpg)
Before
|
66.jpg)
After
|
Porcelain Veneers
|
|

Before
|

After
|
Porcelain Veneers
|
|
55.jpg)
Before
|
59.jpg)
After
|
Aesthetic Fillings
|
|
.jpg)
Before
|
.jpg)
After
|
Cosmetic Bonding
|
|
51.jpg)
Before
|
.jpg)
After
|
Porcelain Crowns
|
|

Before
|

After
|
Porcelain Veneers & Crowns
|
|

Before
|

After
|
|
|